Javascript must be enabled for the correct page display
Sunrise:
(754) 704-9939
Oakland Park:
(754) 704-3133
Mon–Fri:
9:00am – 5:00pm
,
Sat:
By Appointment Only
Phone
Hours
Follow us
Contact Us
Sunrise: (754) 704-9939
Oakland Park: (754) 704-3133
Working Hours
Monday – Friday
9:00 am – 5:00 pm
Saturday
By Appointment Only
Follow Us
Facebook
Instagram
Yelp
Google
Search
Main Menu
Smile Gallery
Services
Toggle Dropdown
Preventive Dentistry
Toggle Dropdown
Dental Checkups
Dental Cleaning
Restorative
Toggle Dropdown
Dental Crowns & Bridges
Dental Implants
Full Mouth Reconstruction
Cosmetic
Toggle Dropdown
Clear Aligners
Porcelain Veneers
Teeth Bonding
Oral Surgery
Toggle Dropdown
Root Canals
Tooth Extraction
Dental Emergencies
About Us
Toggle Dropdown
Meet the Team
Toggle Dropdown
Dentists
Support Staff
Hygienists
Office Tour
Testimonials
Advanced Technology
Locations
Toggle Dropdown
Sunrise, FL
Oakland Park, FL
Blog
Patient Info
Toggle Dropdown
Insurance & Financing
New Patients
Special Offers
Search
Request an Appointment
Request an Appointment
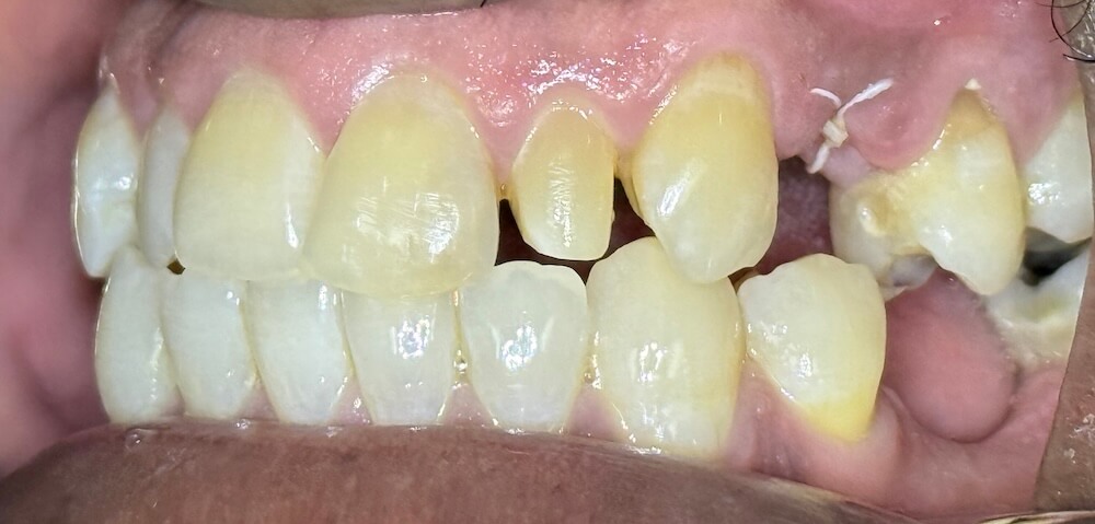
Smile Gallery
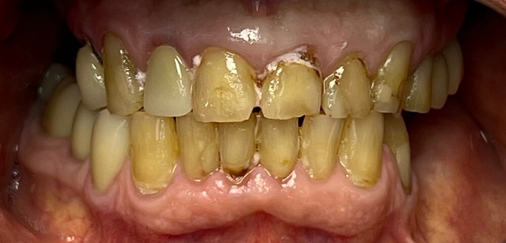
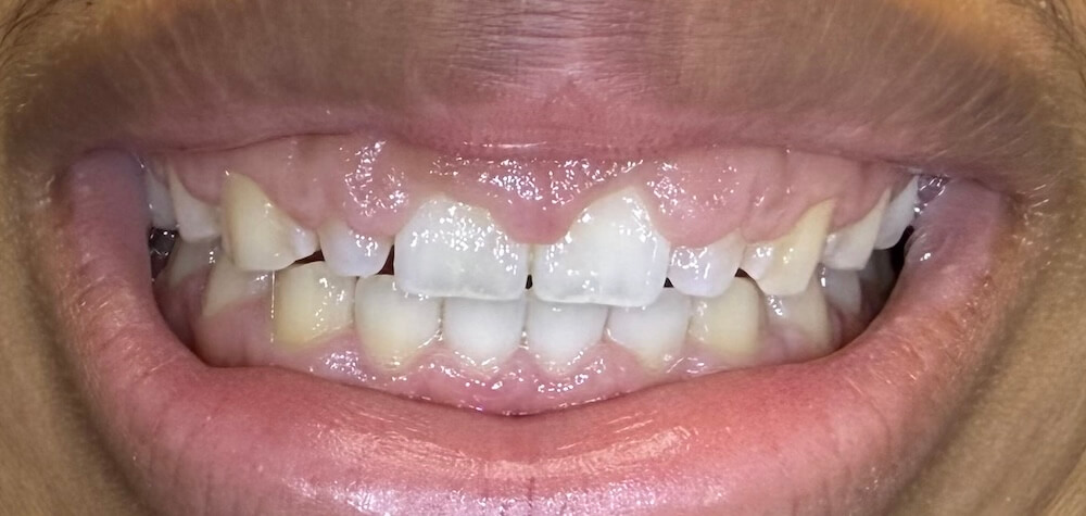
Crowns
Before
After
Dentures
Before
After
Gum Contouring
Before
After
Smile Makeover
Before
After
Teeth Whitening
Before
After
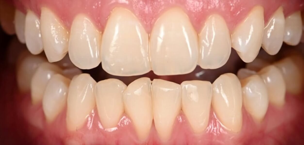
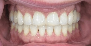
Veneers 1
Before
After
Veneers 2
Before
After
Veneers 3
Before
After
Veneers 4
Before
After
Invisalign, Whitening & Bonding
Before
After
Pagination
Current page
1
Page
2
Page
3
Next page
››
Last page
Last »
Sunrise, FL
(754) 704-9939
Oakland Park, FL
(754) 704-3133