Top Rated Dentist Sunrise and Oakland Park, FL

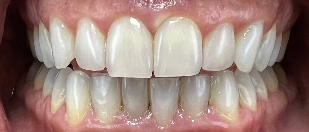
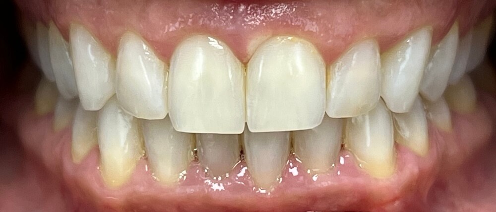
We offer exceptional and comprehensive dental care, including general, restorative, and cosmetic dentistry procedures, to help you achieve and maintain your best smile! It is our top priority to make you feel right at home!

Each member of our staff is trained and skilled to treat patients with the highest level of care using state-of-the-art technology, ensuring the most advanced dental treatments. Our practice provides an array of specialty dental services under the same roof.

See our Practice

Recent Reviews

Why choose us

Care Our Patients Trust

Choosing the right dental practice is an important decision for you and your family. At Wiser Smiles, we're committed to providing exceptional care that sets us apart. Here's why patients trust us:

Two Convenient Locations

Two Convenient Locations

We have two locations to make it easy for you to access the high-quality dental care you deserve, no matter where you are.

Modern Office

Modern Office

Our offices are designed with your comfort in mind, featuring a clean, modern environment and the latest dental technology for a superior patient experience.

In-House Lab

In-House Lab

With our on-site dental lab, we can create and deliver restorations faster and with greater precision, saving you time and ensuring exceptional results.

Wiser Smiles

Better Dental Care, Two Convenient Locations